Bel Fıtığı Yırtılması Belirtileri ve Tedavisi
Bel fıtığı yırtılması, omurga disklerinin kayması veya yırtılması sonucu ortaya çıkan bir durumdur. Belirtileri arasında bel ağrısı, bacaklarda radiküler ağrı ve hareket kısıtlılığı yer alır. Tedavi yöntemleri, ilaç tedavisi ve fiziksel terapiyi içerebilir. Ciddi durumlarda cerrahi müdahale gerekebilir.
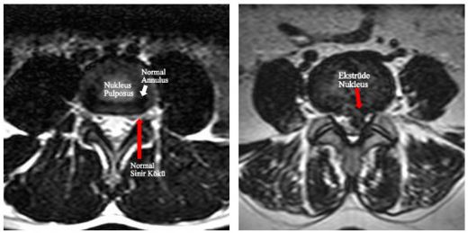
Bel Fıtığı Yırtılması: Belirtileri ve Tedavisi Bel fıtığı, omurga disklerinin yerinden kayması veya yırtılması sonucu oluşan bir durumdur. Bu durum, genellikle bel bölgesinde ağrı ve hareket kısıtlılığına neden olur. Bel fıtığı yırtılması, özellikle fiziksel aktivite sırasında veya ağır kaldırma esnasında meydana gelebilir. Bu makalede, bel fıtığı yırtılmasının belirtileri ve tedavi yöntemleri detaylı bir şekilde ele alınacaktır. Bel Fıtığı Yırtılmasının Belirtileri Bel fıtığı yırtılmasının belirtileri, her bireyde farklılık gösterebilir. Ancak genel olarak aşağıdaki belirtiler sıkça gözlemlenir:
Bel Fıtığı Yırtılmasının Nedenleri Bel fıtığı yırtılmasının başlıca nedenleri arasında:
Bel Fıtığı Yırtılmasının Tanısı Bel fıtığı yırtılması tanısı, genellikle fiziksel muayene ve görüntüleme yöntemleri ile konur. Doktor, hastanın belirtilerini değerlendirir ve aşağıdaki testleri isteyebilir:
Bel Fıtığı Yırtılmasının Tedavi Yöntemleri Bel fıtığı yırtılmasının tedavisi, durumun ciddiyetine bağlı olarak değişiklik gösterir. Genel olarak şu yöntemler uygulanabilir:
Sonuç Bel fıtığı yırtılması, ciddi bir sağlık sorunu olup, belirtileri ve tedavi yöntemleri hakkında bilgi sahibi olmak, hastaların yaşam kalitesini artırabilir. Belirtiler ortaya çıktığında, bir sağlık profesyoneline başvurmak ve uygun tedavi yöntemlerini uygulamak önemlidir. Ayrıca, düzenli egzersiz, sağlıklı bir kiloda kalma ve doğru lifting teknikleri gibi önleyici stratejiler, bel fıtığı riskini azaltmada etkili olabilir. Ek olarak, bel fıtığı yırtılması hakkında daha fazla bilgi edinmek ve tedavi seçeneklerini değerlendirmek için uzman ortopedi veya nöroloji hekimleri ile görüşmek faydalı olacaktır. Eğitimli bir sağlık uzmanı, bireysel ihtiyaçlara ve durumun ciddiyetine göre en uygun tedavi yöntemini önerebilir. |






































Bel fıtığı yırtılması yaşayan biri olarak, bu durumun ne kadar zorlayıcı olduğunu biliyorum. Şiddetli bel ağrılarıyla başlamak, ardından bacaklarda hissedilen ağrılarla devam etmesi gerçekten dayanılmaz bir süreç. Tedavi yöntemleri arasında yatak istirahati ve egzersiz programları öneriliyor, ancak bu süreçte sabırlı olmak gerektiğini anlıyorum. Cerrahi müdahale gerektiğinde, insanların sosyal yaşantıları üzerinde ne kadar etkili olabileceği de aklımı kurcalıyor. Tedavi edilmediğinde kalıcı ağrılar ve felç gibi ciddi sonuçlar doğurabileceğinden, uzman bir doktora başvurmanın ne kadar önemli olduğunu bir kez daha vurgulamak istiyorum. Bu tür durumlarla karşılaşan herkesin, sağlıklarını ihmal etmemesi gerektiğini düşünüyorum.
Sayın Şahap,
Bel fıtığı yırtılması gibi ciddi bir durumla karşılaşmanın zorluklarını çok iyi anlıyorum. Şiddetli Bel Ağrıları ve bacaklarda hissedilen ağrılar, günlük yaşamı gerçekten zorlaştırıyor. Bu süreçte Tedavi Yöntemleri arasında yer alan yatak istirahati ve egzersiz programlarının önemini belirtmeniz çok yerinde. Sabırlı olmak, iyileşme sürecinde gerçekten kritik bir faktör.
Cerrahi Müdahale gerektiren durumlar, bireylerin sosyal yaşamları üzerinde ciddi etkiler yaratabilir. Bu nedenle, tedavi edilmediğinde ortaya çıkabilecek kalıcı ağrılar ve felç gibi sonuçların ciddiyetini vurgulamanız önemli. Uzman bir doktora başvurmanın, durumu yönetme ve iyileşme sürecini hızlandırma açısından ne kadar kritik olduğunu belirtmeniz de dikkat çekici.
Sonuç olarak, bu tür durumlarla karşılaşan herkesin sağlıklarını ihmal etmemesi ve gerekli önlemleri alması gerektiği konusunda sizinle aynı fikirdeyim. Geçmiş olsun dileklerimi iletiyorum.